Wortelkanaalbehandelingen
Wortelkanaalbehandeling
Bij het uitvoeren van een wortelkanaalbehandeling, komt het erop neer, dat we de, eventueel door schadelijke bacteriën geïnfecteerde kanalen schoon vijlen en alle restanten van de zenuwen verwijderen, Als dat is gebeurd, dienen de kanalen te worden gedesinfecteerd met verschillende chemische vloeistoffen, waaronder een soort chloor. We willen immers dat er geen bacterie achterblijft die eventueel weer voor pijn en ontsteking kan zorgen. Om te voorkomen dat het bijtende chloor in de mond komt, wordt er een soort beschermend regenjasje over de kies getrokken die de kies van de mond afsluit. En zo komen er ook geen ongewenste bacteriën vanuit het speeksel in de kanalen en is de kwaliteit van de wortelkanaalbehandeling zo goed mogelijk.
Er is geen behandeling binnen de tandheelkunde, die zoveel verschillende instrumenten en behandelingsfasen kent. Geen behandeling is zo arbeidsintensief en duurt zo lang als de wortelkanaalbehandeling. Afhankelijk van het aantal kanalen in een tand of kies, duurt de behandeling tussen de 40 minuten en de 1,5 tot 2 uur! We bieden daarom ook de mogelijkheid om de wortelkanaalbehandeling te verspreiden over 2 verschillende afspraken, voor degenen die niet langer dan 1 uur in de behandelstoel willen zitten.
(behandelaars: tandarts Draga en office manager Jessica)


Wortelkanaalbehandeling met kroon
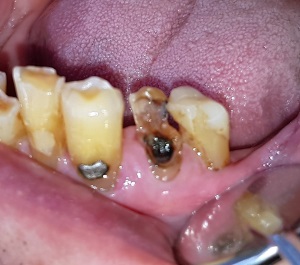
Deze oudere patiënt kwam bij mij met een probleem….Een groot stuk van zijn kleine kies linksonder was samen met de vulling afgebroken tijdens het eten. Hij was ervan overtuigd dat de rest van de kies getrokken moest worden, omdat er zo weinig van het restant over was, dat het vast niet meer opgeknapt kon worden. Ik vertelde hem toen dat er voor deze kies misschien nog een laatste redding was: De wortelkanaalbehandeling met plaatsing van een stift en daarop de vervaardiging van een composiet kroon. Dit houdt in dat men de zenuw in de kies opoffert, een wortelkanaalbehandeling uitvoert, vervolgens een glasvezelstift plaatst die ver genoeg in het kanaal steekt en ver genoeg boven de wortel uitkomt om stevigheid en houvast te geven aan de vulling die eraan vast wordt gemaakt.
Op de Röntgenfoto van de beginsituatie is te zien dat er vrijwel alleen nog maar een wortel over is. de opstaande wand glazuur is zo dun dat die nauwelijks zichtbaar wordt op de foto. Op de kleurenfoto’s van de beginsituatie is te zien dat het grootste gedeelte van de kleine kies is afgebroken. We hebben de kleine kies van de mond afgeschermd met een paarse kofferdam om een hygiënisch werkgebied te creëren. Vervolgens hebben we met vijlen het kanaal gevijld en met chloor gedesinfecteerd. Daarna hebben we een Unicore glasvezelstift van het Amerikaanse bedrijf Ultradent Products gecementeerd in het kanaal. Zoals u kan zien steekt de stift ver genoeg uit boven de wortel om genoeg houvast te geven aan de te vervaardigen composietkroon. Vervolgens hebben we de kroon vervaardigd van het Amerikaanse composiet Herculite.
Eigenlijk hebben we 2 verschillende behandelingen na elkaar uitgevoerd: de wortelkanaalbehandeling en vervolgens ook het plaatsen van de glasvezelstift en het vervaardigen van de composietkroon. Op de röntgenfoto van het eindresultaat is het wortelkanaalvulmateriaal zichtbaar bij de groene pijl, daarboven ziet men de diep en stevig in de wortel gecementeerde glasvezelstift (rode pijl). De patiënt heeft 1 uur en een kwartier in de stoel gelegen maar vond dat niet erg. De behandeling is ook in 2 afspraken uit te voeren van elk 45 minuten, maar de patiënt gaf de voorkeur aan alles af te ronden in één zitting.
De patiënt heeft niets gevoeld van de behandeling omdat hij goed is verdooft. Hij was erg blij met het eindresultaat en vooral met dat de wortel toch niet getrokken hoefde te worden, maar zelfs opgebouwd kon worden tot een nieuwe kies.
De totale kosten van de wortelkanaalbehandeling, de stift, de kroon van composiet en de verdoving waren: +/- € 350 euro
(behandelaars: tandarts Draga en preventie-assistente Marjolein)


Wortelkanaalbehandeling en ENORME ANGST!
Deze patiënt kwam bij mij en is al lang patiënt in mijn praktijk. Het is een heel sympathiek persoon. Ze heeft alleen een probleem: ze heeft een enorme, niet aflatende angst voor alles dat met een tandartsbezoek te maken heeft. We hebben het al meerdere keren besproken, er is niet zozeer een specifieke behandeling of instrument of apparaat waar ze bang voor is. Nee, ze is gewoon in het algemeen bang in de Tandartspraktijk. We konden dus ook niet een bepaalde handeling oefenen om langzamerhand meer te wennen aan de behandelingen. Deze patiënt komt dus ook niet altijd op controles,…ze komt eigenlijk meestal wanneer ze kiespijn krijgt.
Ze was dus al een tijd niet meer geweest voor controle en kwam nu bij me met kiespijn linksonder in haar kiezen. Tijdens het bekijken van kiezen linksonder viel mij op dat ze een gaatje had aan de achterkant van de eerste grote kies. Dus tussen de eerste en tweede grote kies. Ik maakte een Röntgenfoto en zag daarop dat het gaatje en het tandbederf tot in de zenuw van de kies zat. De kies was ook gevoelig bij aanraken en de kies deed veel pijn bij het eten of drinken van koude en warme dingen. Dat gaatje en tandbederf waren dus de oorzaak van haar pijn. Deze pijn zou ook gewoon blijven na bijvoorbeeld slechts het maken van een vulling. Er moest hier dus een wortelkanaalbehandeling gedaan worden in deze kies om de pijnlijke zenuw uit de kies te halen en de patiënt zo van de pijn af te helpen. Ze was echter zo bang voor de behandeling dat ze niet durfde. We hebben toen een nieuwe afspraak gemaakt voor de wortelkanaalbehandeling en ik heb haar een recept voorgeschreven voor rustgevende medicatie. Deze moest ze innemen de avond voor de dag van de wortelkanaalbehandeling en 1 uur op de dag voor de behandeling. Dit zou de ergste angst wat dempen.
De patiënt is verschenen op de afspraak en zei goed te hebben geslapen. Haar moeder was mee om haar te brengen en weer weg te brengen. Ze vertelde dat ze door de rustgevende medicatie de ergste angst inderdaad veel minder heftig ervaarde.
Na goed te hebben verdoofd, heb ik al het tandbederf uit de kies geboord. Daarna heb ik van boven af een kanaal geboord naar de zenuw. Ik heb toen een paars rubber lapje over de kies heen getrokken en met een klemmetje vast gezet, zodat er geen bacteriën van uit de mond in de kanalen terecht kwamen en er geen chloor desinfectiemiddel in de mond terecht zou komen. Er zaten maar liefst 4 wortelkanalen in deze kies Ik heb alle kanalen met vijltjes schoon gevijld en gedesinfecteerd met chemische vloeistoffen waaronder hypochloriet en EDTA. Daarna heb ik de kanaalvullingen in de 4 kanalen aangebracht en was de fase van de wortelkanaalbehandeling afgerond. Ik moest vervolgens alleen nog maar het bovenste gedeelte van de kies (het kroongedeelte) inboxen en een mooie witte vulling maken in de kies. Ik heb hiervoor het Amerikaanse witte vulmateriaal ‘Herculite’ gebruikt. Op de eindfoto was een wortelkanaalbehandeling zichtbaar waar ik erg tevreden mee was.
De patiënt was goed verdooft en beleefde dus geen pijn tijdens de wortelkanaalbehandeling. Omdat er maar liefst 4 te behandelen kanalen aanwezig waren in deze grote kies, duurde de behandeling 2 uur lang. Maar de patiënt vertelde, dat ze dat geen probleem vond en dat ze aardig zonder angst in de behandelstoel heeft gelegen. De behandeling koste iets meer dan € 400 euro. De patiënt was goed verzekerd.
(behandelaars: tandarts Draga en preventie-assistente Marjolein)











