Protheses
Hét ‘Klikgebit’
Deze patiënt is wat op leeftijd en is al tientallen jaren tandenloos. Ze kwam bij mij en vertelde mij dat ze al geruime tijd last had van een te los zittende onderprothese.hierdoor kon ze al heel lang niet meer fijn eten en voelde ze zich onzeker in een gesprek. Gedurende de jaren slinkt de tandenloze onderkaak en die wordt dus steeds kleiner en lager. Er komt dan een tijd, dat de onderprothese te weinig houvast heeft aan de te klein geworden onderkaak, waardoor die zich daar niet meer vastzuigt en blijft zitten: de onderprothese komt dan los bij het praten en het eten. Eten, afbijten, kauwen, wordt daarom moeilijk. Mensen worden bang dat ze misschien hun onderprothese verliezen tijdens het praten. Ik heb met de patiënt besloten om in de onderkaak een zogehete ‘klikgebit’ te maken. Dit gebit ‘klikt’ vast aan implantaten in de onderkaak en komt dan niet los tijdens eten of praten. Kleefpasta is dan niet meer nodig.
Bij de eerste afspraak heb ik de onderkaak gewoon verdooft met 2 prikken plaatselijke verdoving, dat is meer dan zat. Patiënten hoeven dus niet onder narcose of zoiets.
Ik heb op twee plaatsen het tandvlees een beetje ingesneden om bij het daaronderliggende kaakbot te kunnen komen. In de plaatselijk verdoofde onderkaak heb ik toen twee schroefjes, de zogehete ‘implantaten’, geschroefd en heb de snedes in het tandvlees gehecht. Bij deze patiënt in dit specifieke geval, moesten de implantaten eerst drie maanden ‘vastgroeien’ in het kaakbot. Na deze drie maanden van genezing ben ik begonnen met het vervaardigen van het ‘klikgebit’.
Op de twee implantaten schroefde ik een ‘staafje’. Ik liet een onderprothese maken met drie ‘klammertjes’ die om het staafje konden vastgrijpen. Samen met de onderprothese heb ik voor de patiënt ook een nieuwe bovenprothese gemaakt. De patiënt wilde graag helder witte tanden. De patiënt was erg tevreden met het eindresultaat. Ze vond de prothese er erg goed uitzien en ze kon eindelijk weer beter eten en voelde zich niet meer onzeker tijdens het praten.
De totale kosten van het plaatsen van de implantaten, het plaatsen van de staaf en het vervaardigen van het klikgebit zijn om en nabij de 4000 euro. Zowel de twee implantaten als de staaf tussen de twee implantaten als het ‘klikgebit’, werden voor 100% uit de basisverzekering betaald. Je hebt dus geen tandartsverzekering nodig. Omdat de vergoeding uit de basisverzekering wordt vergoed, moet de patiënt wel een eigen bijdrage betalen. Omdat we de patiënt altijd een kostenbegroting meegeven, wist de patiënt van te voren hoeveel ze zelf moest betalen als eigen bijdrage.





Plaatje met één voortand
Deze patiënt mist een voortand. De patiënt heeft momenteel niet het geld voor een brug van tussen de 1000 euro en 1500 euro. Ook een operatietje voor het plaatsen van een implantaat ziet hij niet zitten. Voor hem mag het ook allemaal niet teveel kosten, maar het moet er wel goed uitzien als hij lacht of praat.
Ik heb hem toen een plaatje met één tand geadviseerd. Het heeft niet de luxe van een vastzittende voorziening zoals een brug of een implantaat, maar is wel 10 keer goedkoper. Daarbij komt ook dat het makkelijk is in gebruik en hygiënisch reinigen. Er breekt haast nooit wat af van zo een plaatje, dus het onderhoud aan deze voorziening is minimaal. Het kostenplaatje is ook patiëntvriendelijk: Het aanmeten en vervaardigen van dit plaatje koste de patiënt: € 200 euro




Gebitsprothese (kunstgebit)
Deze patiënt heeft besloten al haar resterende tanden en kiezen te laten trekken en een kunstgebit te laten vervaardigen. Ze had altijd al een door tandbederf gehavend gebit met veel grote vullingen en tandvlees/kaakbot-problemen. Haar gebit vergde veel onderhoud van haarzelf en de tandarts….ze was er wel klaar mee.
We hebben toen gezamenlijk besloten een eerste prothese voor haar te vervaardigen. In de eerste fase hebben we alle kiezen getrokken en de wonden 3 maanden laten genezen. Gedurende die genezingstijd heeft ze haar voortanden behouden voor de esthetiek. Na de 3 maanden hebben we afspraken gemaakt voor het aanmeten en vervaardigen van haar prothese. Ze had 5 afspraken in 5 weken, ze kwam elke week op dezelfde dag voor haar afspraak. op de dag dat de gebitsprothese af was en geplaatst werd, werden de resterende voortanden goed verdoofd, getrokken en werd de boven- en onder-prothese meteen op zijn plaats gezet. de patiënt heeft dus nooit zonder voortanden gelopen!
De patiënt had de behandelingen als niet onaangenaam ervaren. Ze heeft niets gevoeld van het trekken van tanden en kiezen omdat er goed is verdoofd. Ook had ze geen last van eventuele braakreflexen tijdens het nemen van afdrukken met afdruklepels.
De patiënt kwam nog 2 of 3 keer langs om storende drukpunten in de prothese weg te slijpen, daarna was de prothese klachten vrij.
De patiënt was erg tevreden met het eindresultaat, Ze vond de prothese er erg mooi uitzien en ze kon er uiteindelijk goed mee eten.
De kosten van het aanmeten en vervaardigen van een prothese zijn rondom de 1000 euro exclusief de kosten van het trekken van tanden en kiezen), de prothese wordt doorgaans voor 75% vergoed uit de basisverzekering.
(De prothese is aangemeten en vervaardigd door Tandarts Draga in samenwerking met de specialisten van de protethiek-afdeling van het Tandtechnisch Laboratorium in Barneveld)




Prothese met Hollywood-lach



De wat oudere patiënten hebben vroeger niet kunnen meegenieten van othodontie of esthetische tandheelkunde. Of omdat het te duur was of dat omdat bij hen simpelweg niet bestond. Men mocht al ‘blij’ zijn als je naar de schooltandarts mocht….
Bij deze patiënt braken af en toe kiezen en tanden af door grote vullingen in haar tanden en kiezen. Ook had ze zo nu en dan toch last van gaatjes of tandvleesontsteking ondanks dat ze goed haar best deed met haar mondverzorging. Ze vroeg aan mij, of ik toch niet haar tanden en kiezen kon vervangen door een mooi kunstgebit. Want ze was een beetje klaar met haar ‘lelijke en breekbare tanden’. Ik stemde daarmee in. Ze had nog een wens: Ze was nooit naar de orthodontist geweest en ze had dus nooit mooie witte en rechte tanden. Ze vroeg aan mij of ze in het kunstgebit mooie witte rechte tanden kon krijgen. We hebben gezamenlijk de kleur van de tanden bepaald. In totaal heb ik bij deze patiënt in totaal 18 tanden en kiezen getrokken in 4 verschillende afspraken. De 6 boven- en -onder-voortanden heb ik zolang mogelijk laten staan, zodat ze voor het zicht zolang mogelijk toonbaar was. Op de dag van het plaatsen van de boven- en onder-prothese heb ik haar overgebleven boven- en ondertanden goed verdooft en na ongeveer 10 tot 15 minuten heb ik al haar overgebleven boven- en ondertanden getrokken en de vervaardigde protheses op hun plaats gezet.
De patiënt was erg tevreden met het eindresultaat. De patiënt maakte zich er zorgen om het afdrukken (happen) en het trekken van haar tanden, maar ze zei dat het achteraf reuze was meegevallen.
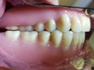
Protheses
Nog een voorbeeld van een door mij bij een patiënt aangemeten prothese.
De prothese wordt voor 75% vergoed uit de basisverzekering!
(behandelaars: tandarts Draga in samenwerking met de Prothesespecialisten van de het Tandtechnisch Laboratorium in Barneveld)

Protheses
In sommige gevallen bezitten sommige mensen nog genoeg tanden en kiezen die gezond zijn en waarbij ook het tandvlees en kaakbot in orde is. in die gevallen maken we gedeeltelijke protheses, de zo gehete ‘partiële prothese’.
in deze casus ontbreken bij de patiënt de voortanden van de boven- en onderkaak. De rest van haar tanden en kiezen waren in goede conditie. Aangezien een plan en behandeling met implantaten en bruggen veel te duur voor haar zouden zijn, hebben we besloten twee partiële protheses te maken.
De patiënt was erg tevreden met het eindresultaat. We zitten er nog over na te denken om het roze kunststof rondom de tanden te verwijderen, zodat je de randen van de roze kunststof niet meer ziet. Ze vond het echter geen probleem aangezien haar lippen over de roze kunststofdelen vielen en je volgens haar toch weinig van de kunststof zag.
De patiënt heeft geen last gehad van braakneigingen bij het nemen van afdrukken, ze heeft het niet als storend ervaren.
(De protheses zijn aangemeten en vervaardigd door tandarts Draga en de specialisten van de prothetische afdeling van het tandtechnische laboratorium in Barneveld.)












