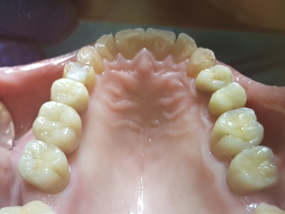
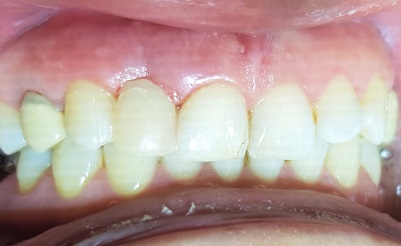
Kronen en bruggen
Zirkonium kroon
Deze patiënt is op de vrijdagavond, tijdens het stappen, voorover gevallen en ze kon haar val niet meer op tijd opvangen. Ze kwam met haar voortanden op de grond, waardoor er één voor de helft afbrak.
Op de centrale voortand naast de gebroken tand, zat een composiet facing. In eerste instantie vroeg ze of ik alleen de gebroken tand kon herstellen. Ik raadde haar echter aan ook de centrale voortand naast de gebroken te herstellen met een kroon: Want de centrale voortand naast de gebroken tand was enigszins aan de brede kant en het oppervlak kon beter. Ik heb haar toen geadviseerd om beide centrale bovenvoortanden te kronen, dit om symmetrie te krijgen tussen de centrale voortanden links en rechts en zodat ook van dezelfde kleur en lichtheid zijn. De patiënt ging akkoord.
De patiënt ging voor de kleurbepaling van de kronen voor een afspraak naar het esthetisch tandheelkundig laboratorium in Barneveld. Daar maten ze elektronisch de kleur en lichtheid op voor het vervaardigen van de kronen. Vervolgens hebben ze 2 Zirkonium-kronen vervaardigd voor de centrale bovensnijtanden. Het mooie aan Zirkonium materiaal is, is dat het kei-en keihard is. En ook niet verkeerd: het zirkonium-materiaal is van zichzelf wit! Dus mocht het tandvlees iets terugtrekken, dan ziet men geen lelijke zwarte randjes verschijnen.
De patiënt is voor het passen van de kronen een tweede keer bij het Esthetisch Laboratorium in Barneveld geweest. Ze was tevreden over de vorm en de kleur van de kronen en ging akkoord. In mijn praktijk zijn vervolgens de kronen geplaatst. Een mooi resultaat





Kronen en bruggen
Deze patiënt heeft jaren lang problemen gehad met vooral kiezen en grote vullingen waar steeds stukken vanaf braken. Mogelijk heeft de patiënt veel kracht in de kaken of knarst ’s nachts. Dit in combinatie met verzwakte kiezen en grote vullingen kan ertoe leiden dat er steeds weer stukken afbreken. De patiënt heeft besloten elk jaar 1 of 2 kronen te laten plaatsen totdat al zijn zwakke kiezen duurzaam zijn verstevigd. Dit maal slaat hij 3 vliegen in één klap: hij laat een brug maken en kroont zo 2 zwakke kiezen en vervangt een getrokken kies door een neptand tussen de twee kronen: de 3-delige brug. Op de eindfoto van de hele bovenkaak is te zien dat meneer bijna al zijn kiezen heeft voorzien van kronen en een brug, de kleine kies linksboven komt nog aan de beurt.
De kosten van de 3-delige brug inclusief verdoving: +/- € 1.500
(behandelaars: tandarts Draga, preventie-assistente Marjolein en de specialisten van de kroon- en brug-afdeling van het tandtechnisch Laboratorium in Barneveld)

Kronen en bruggen
Deze patiënt kwam bij mij op een incidenteel consult met een hulpvraag over een loszittende kroon op stift in een kleine snijtand rechtsboven in haar mond. Bij nadere klinische inspectie bleek de kroon, die vast zat aan de tand door middel van een stift met opbouw, gecementeerd in het wortelkanaal van de tand. De reden van loslaten van de stift met kroon was al vrij snel duidelijk: tandbederf is onder de kroon en in het wortelkanaal terecht gekomen waardoor de kroon met stift los liet. Op de röntgenfoto zag ik dat er van de totale tand nog zo een 50% gezond tandweefsel over was, maar dat de situatie zo was, dat in dit geval geen verantwoorde duurzame restauratie gemaakt kon worden. Ik heb de patiënt het slechte nieuws medegedeeld en verteld dat de tand het beste getrokken kon worden en dat we beter naar een duurzame oplossing konden zoeken waar wel enige garantie op is te geven. Na overleg was zij geïntereseerd in een conventionele etsbrug, maar deze zou pas geplaatst kunnen worden na een genezingsproces van het kaakbot van 2 a 3 maanden, na het trekken van de tand.
Als semipermanente en esthetische oplossing voor het lelijke gat tussen haar voortanden, koos zij voor de vastzittende etsbrug van composiet.
De behandeling ging als volgt:
1. Op de eerste dag werd het restant van haar voortand getrokken en hebben we meteen tijd in de agenda voor haar vrij gemaakt op de volgende dag, zodat de patiënt niet al te lang met een lelijk gat tussen haar voortanden zou rondlopen.
2. Op de afspraak de dag erna, was het bloeden van de extractiewond natuurlijk al gestopt en konden wij in een bloedvrije omgeving werken.
Ik heb in beide buurtanden een kleine inkeping geboord waarin ik vervolgens een glasvezelmatje heb gelegd van de Japanse Everstick technologie. Ik heb zo beide buurtanden kunnen verbinden en na belichten van met de uithardingslamp werd de verbinding keihard en zat deze muurvast. Op de glasvezelverbinding heb ik vervolgens een kunsttand geboetseerd van het Amerikaanse composiet Herculite. Het geheel heb ik vervolgens met fineerboortjes en schuurschijfjes in de gewenste vorm gebracht en tot glans gebracht.
De patiënt was eigenlijk zo tevreden met het eindresultaat, dat ze vroeg of deze composietbrug niet als permanente oplossing kan dienen en de conventionele brug, die veel duurder is, niet nodig zou zijn. Van mij mag alles, alleen vind ik composietbruggen gewoon niet sterk genoeg en daarom te riskant voor een duurzame oplossing voor de langere termijn. Soms laten brugdelen los of breken er stukken af van de composiet-kunsttand. Mijn advies is daarom altijd om de stevigste oplossing te kiezen, in dit geval de conventionele (plak) brug gemaakt van hard metaal met daaroverheen het harde esthetisch fraaie tandheelkundige porselein.
De patiënt heeft geen pijn ervaren aangezien er bij elke behandeling goed is verdoofd.
De patiënt was erg tevreden over de esthetiek van het eindresultaat.
De totale kosten van het trekken van de kies, de röntgenfoto, de verdovingen en de composietbrug zijn rond de € 275 euro.
(behandelaars: tandarts Draga en preventie-assistente Marjolein)


Kronen en bruggen
Deze wat oudere patiënt kwam bij mij op een incidenteel consult met de volgende hulpvraag:
De kronen van twee kleine kiezen zijn beide kapot gegaan en hij heeft ze niet meer in zijn bezit. Hij maakt zich erg zorgen omdat hij weet dat nieuwe kronen veel kosten en daar heeft hij op zijn leeftijd het geld niet meer voor. Hij heeft maar een kleine AOW zegt hij.
Ik stelde hem voor de nieuwe kronen van een sterk wit vulmateriaal te maken, composiet, wat veel goedkoper is dan in het tandtechnisch Laboratorium gemaakte kronen en toch redelijk breuk- en slijtvast is.
Hieronder ziet u foto’s van de begin- en eindsituatie. De eerste grote kies meteen na de 2 kleine kiezen is al eerder door mij voorzien van een kroon van composiet.
De kosten voor deze twee kronen en verdoving waren in totaal: € 202 euro (€ 101 euro per stuk)
De patiënt was zeer tevreden met het eindresultaat en nog meer met de relatief lage kosten. Door de verdoving verliep de behandeling volledig pijnloos.
(Behandelaars: tandarts Draga en preventie-assistent Marjolein)
Old School Bling Bling
Deze patiënt is al 40 jaar een goede vriend van mijn moeder. Toen ze jong waren hebben ze beide als tandarts voor een periode in dezelfde praktijk gewerkt. Zijn zoon is nu een succesvol orthodontist en is eigenaar van meerdere orthodontiepraktijken. Hij heeft zijn zoon veel geholpen met adviezen, de bouw en de realisatie van de orthodontiepraktijken. Ik ben hem heel dankbaar voor de hulp en adviezen, die hij mij heeft verleend, die van essentieel belang waren voor het realiseren van mijn nieuwe praktijk in Vathorst.
Nu echter was hij even geveld door een klein steentje in zijn Krentenbol. Toen hij op dat steentje beet, brak er een groot stuk knobbel van zijn kies af, samen met de gouden onlay, die er waarschijnlijk al 35 tot 40 jaar zat. hij kwam bij mij met de vraag of er nog wat van de kies te maken was. meteen zag ik dat er weinig van de kies over was. Zoals gewoonlijk bemoeit een (ex)tandarts in de behandelstoel zich met zijn eigen tandheelkundige behandeling en is tot het besluit gekomen: ‘Geen wortelkanaalbehandeling, geen stiften met opbouw en geen volledige kroon. Het zou een nieuwe onlay worden, die dit keer ook het afgebroken gedeelte van de kies zou overkappen en omvatten. Op deze manier zou het restant van de kies minimaal aangetast worden door het boren en zou er weinig tot geen tandweefsel verloren gaan.
Door de breuk was de kies op veel plekken grillig en oneven geworden. Ik heb vlakken geëgaliseerd met de boor en ondersnijdingen weggehaald. Ik heb een zogehete brede en diepe ‘Bevel’gemaakt die voor zoveel mogelijk omvatting van- en retentie aan de kies zou zorgen. De Gouden Onlay is gemaakt door Herman van Amerongen van het Tandtechnisch laboratorium in Barneveld. Herman heeft er echt een kunstwerk van gemaakt. Ik kan zien dat Herman zijn uiterste best heeft gedaan om een prachtige natuurgetrouwe morfologie in het oppervlak aan te brengen. Op de kleinste knobbels en groeven heeft hij gelet en heeft die in de gouden Onlay geboetseerd. Hij heeft het oppervlak van het goud zo weten polijsten en te laten glimmen, dat als je goed kijkt, je mij of de assistente kan zien weerspiegelen in de kroon bij de close-up foto’s van de onlay. Knap werk Herman!
In een mond waar de restauraties vooral gemaakt zijn van goudlegeringen, is het geen goed keus om over te stappen op porseleinen of Zirkonium kronen, want deze zijn veel te hard voor het goud, waardoor kiezen met goude kronen tegenover porseleinen kronen te snel wegslijten. Bij goud tegenover goud heb je dat vele malen minder. Eigenlijk zijn goude kronen nog steeds de meest betrouwbare kronen, met veel voordelen: zo hoeft de bestaande kies het minst omslepen te worden om een kroon van goud mogelijk te maken. Zo raakt de kies en de zenuw zo min mogelijk beschadigd. Porseleinen kronen kunnen breken, porselein is breekbaar. Goud breekt niet, Goud is hoogstens wat buigzaam. Omdat goud niet zo hard is als porselein of zirkonium, beschadigt het de kies in de tegenover liggende kaak zo min mogelijk. Gouden kronen kunnen aan de binnenkant gezandstraald worden waardoor de binnenkant ruw wordt en zorgt voor extra stevig vast zitten en weinig tot niet uitvallen, na cementeren van de gouden kroon op de kies.
Je ziet in de eindfoto’s dat mijn patiënt eigenlijk alleen maar Old School kroon- en onlaywerk van goud in de mond heeft zitten. De gouden kronen en onlays zitten al 35 jaar of langer op zijn plek en zijn nauwelijks versleten. Niet iedereen is gecharmeerd van de kleur van goud. Tegenwoordig wil iedereen natuurgetrouw lijkende porseleinen- en zirkonium kronen (Op enkele Nederlanders van Antilliaanse en Surinaaamse afkomst na0. Die maak ik daarom ook het meest. Maar zeg nou zelf: zo een gebit met Old School Goudwerk ziet er toch wel mooi uit. Echt mooi Nederlands ambachtelijk vakwerk!
















