Esthetische tandheelkunde
Dé schildjes, veneers, facings van composiet
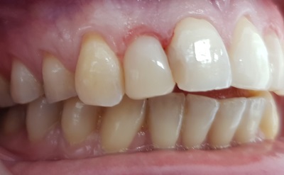
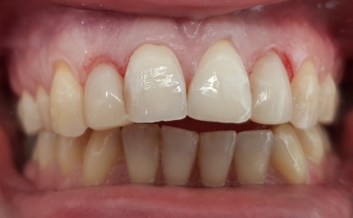
Deze patiënt gaat binnenkort trouwen en wil dan zo goed mogelijk voor de dag komen. Een andere tandarts heeft al eerder in het verleden geprobeerd enkele witte vlekken in het glazuur cosmetisch te bedekken. Echter nu breken er stukjes composiet af en heeft de patiënt enkele gaatjes in de tanden ter plaatse van de tandhalzen.
Op maat gemaakte facings van porselein vond ze te duur. Maar facings van composiet wilde ze wel graag laten vervaardigen: 8 op de boventanden en 8 op de ondertanden. Ze wilde zo wit mogelijke tanden.
De rode/bruine randjes op het tandvlees rond de tandhalzen in de onderkaak komt door lichte beschadiging van het tandvlees bij het plaatsen van de schildjes. Maar na een week is daar niets meer van te zien, zoals te zien aan het tandvlees rond de tanden in de bovenkaak.




Dé porseleinen schildjes / facings / veneers
Deze patiënt treed regelmatig op en zingt Nederlandstalig. In haar bovengebit heeft ze aan haar rechter kant, de achterste 3 kiezen laten kronen. Aan haar linker kant heeft ze alle 4 de kiezen en de linker hoektand laten kronen. Maar in de loop van de tijd zijn haar bovenvoortanden en de ene rechter kies donkerder geworden dan haar kronen. Ook vond ze de vorm van de tanden niet echt mooi meer, ze waren door de jaren heen wat gesleten. Ze vroeg aan mij of ik haar voortanden kon opknappen zodat ze weer dezelfde kleur en lichtheid hadden als haar kronen en of ik de tanden weer mooi van vorm kon maken.
Toen ik haar voortanden en rechter kies zag, toen zag ik een gebit, dat esthetisch eigenlijk nog niet slecht was. De tanden en de kies waren al best licht, maar inderdaad donkerder dan de kronen in de rest van haar bovengebit. De tanden zagen er al best mooi uit, maar waren door de jaren natuurlijk niet meer als nieuw.
Als een patiënt de voortanden met facings wil laten opknappen, dan doe ik dat regelmatig met wit vulmateriaal. Dit heeft als voordeel, dat ik de facings sneller kan maken dan de tandtechnieker porceleinen facings kan maken. Maar het grootste voordeel is de prijs. Een facing van wit vulmateriaal kost ongeveer 80 euro per tand. Een door de tandtechnieker vervaardigde porceleinen facing kost ongeveer 300 euro per tand. Er is nog een belangrijk verschil: Een tandtechnieker kan altijd veel mooiere facings maken van porcelein, dan de tandarts met wit vulmateriaal. Dit ligt er aan, dat een tandtechnieker de facings vervaardigt in zijn laboratorium op een gebitsmodel van de patiënt. Hij kan er alle tijd voor nemen, radiotje erbij, her en der makkelijk wat meer porcelein aanbrengen of wat afnemen. Als hij ontevreden is over het resultaat, begint hij gewoon opnieuw, misschien zelf na het avondeten in de avonduurtjes. De tandtechnieker kan de patiënt ook uitnodigen om het eindresultaat te ‘passen’ en te bekijken voordat de facings worden geplaatst. Mocht de patiënt toch nog niet helemaal tevreden zijn, dan kan de tandtechnieker de facings makkelijk aanpassen tot tevredenheid van de patiënt. Ik als tandarts heb die luxe niet met mijn witte vulmateriaal. Ik heb vaak een uur om de composiet facings te maken, ik heb te maken met speeksel of bloed of een bovenlip die in de weg zit, het vormgeven en op glans brengen van de facings in de mond, is altijd moeilijker dan op een gebitsmodel in de hand. Het eindresultaat van een Tandtechnieker is daarom altijd mooier dan dat een Tandarts kan maken.
Als een patiënt al een redelijk mooi en wit gebit heeft, dan is het voor de tandarts daarom lastiger van een mooi gebit een nóg mooier gebit te maken. In deze gevallen is de kans van slagen en een tevreden patiënt daarom groter, als de patiënt de facings bij de tandtechnieker laat maken.
Ik heb de patiënt aangeraden haar facings door de tandtechnieker te laten maken. De patiënt ging akkoord en was bereid om in haar gebit te investeren, als haar voortanden er weer net zo wit en mooi uitzagen als de kronen op haar kiezen.
De patiënt maakte een afspraak bij het Tandtechnisch Laboratorium in Barneveld. Daar maakte ze kennis met de tandtechnieker die voor haar de porceleinen facings en porseleinen kroon zou maken. De tandtechnieker maakte kleuren mondfoto’s van de tanden en besprak de wensen van de patiënt, waaronder de kleur, lichtheid en vorm van de facings. De Tandtechnieker maakte met deze informatie een plan en besprak dit vervolgens met mij, de tandarts. Dit was voor mij belangrijk opdat ik dan wist hoe ik de tanden moest beslijpen om ruimte te maken voor de porceleinen facings.
De patiënt maakte vervolgens bij mij een afspraak om de tanden te beslijpen en om de afdruk te nemen van de boventanden. Tijdens mijn behandeling heb ik de bovenvoortanden van de patiënt goed verdoofd zodat ze niets zou voelen. Vervolgens heb ik per tand 1 tot 1,5 millimeter van de voorkant van de voortanden afgeslepen, dit maakte ruimte voor porceleinen facings, die weer die 1 tot 1,5 millimeter dik zijn. Ik heb de voortanden daarna afgedrukt en de afdruk opgestuurd naar de Tandtechnieker. De tandtechnieker had minder dan een week nodig voor de vervaardiging van de facings en de kroon. Toen deze klaar waren, nodigde hij de patiënt weer uit op het tandtechnisch laboratorium voor de ‘Try-in’. De vervaardigde Porceleinen facings en de kroon werden vervolgens gepast op de beslepen voortanden. Na enkele aanpassingen naar wens van de patiënt heeft de Tandtechnieker de facings afgemaakt en naar mij de tandarts opgestuurd. Ik maakte een afspraak met de patiënt om de facings te cementeren, waarop ik de eindproducten bij de patiënt heb geplaatst.
Van begin tot eind duurde het vervaardigen en plaatsen van de facings een week. Omdat de patiënt behalve de facings ook een kroon liet vervaardigen, heb ik haar een korting gegeven op de totale prijs. Bij dit soort bedragen wil ik soms wel tegemoet komen in de kosten. De totale kosten voor de patiënt, van de 5 facings en de kroon, waren boven de 2000 euro.



Bleken van binnenuit (inwendig bleken)
Wat veel minder bekend is onder patiënten is het tandenbleken van binnenuit of ook wel ‘inwendig bleken’ genoemd.
Op jonge leeftijd rennen kinderen ,rond hun zevende jaar, al rond dat het een lieve lust is. Daarbij wordt de kunst, van het opvangen van een val, echter nog niet goed beheerst. Kinderen kunnen dan met het gezicht plat op de grond vallen, waarbij de meest naar voren stekende tand dan vaak de grootste klap krijgt. Dit is meestal één van de centrale snijtanden in de bovenkaak Vanaf de zevende jaar zijn dit blijvende/volwassen tanden.
Er kunnen dan 2 dingen gebeuren. Óf de zenuw krijgt een klap (contusie) die vervolgens in een chronische toestand van ontsteking terecht komt. Daarbij zal de zenuw, gedurende jaren, het kanaal ‘isoleren’ met lagen dentine/tandbeen. De kleur van de tand wordt langzaam donker geel of zelfs bruin. Óf de zenuw sterft af waardoor de tand grijs of zelfs zwart wordt. Vanaf de adolescentie kan men zich daaraan gaanstoren. Met kan onzeker worden en niet breeduit durven lachen uit schaamte. Ook na een wortelkanaalbehandeling in een voortand kan deze naar verloop van tijd rood of zwart worden. Dit is echter vaak wel op te lossen.
De beste methode om de tand dan weer wit te krijgen is het ‘inwendig bleken’. Er wordt dan immers de oorzaak van de verkleuring aangepakt: de verkleuring van binnenuit. Uitwendig bleken zal de tand wel witter maken, maar je zal toch een verschil gaan zien, omdat het Witte van die tand oppervlakkig ligt en bij de rest van de tanden komt het Witte, natuurlijk van binnenuit.
Om dit op te lossen moet het wortelkanaal behandeld zijn met een wortelkanaalbehandeling, of deze moet eerst worden uitgevoerd. Daarna vult men het wortelkanaal met een ‘bleach-to-go’, dicht af met een noodvulling en maakt een afspraak voor een week later. Het kleurherstel wordt dan geëvalueerd. Als het element nog niet wit genoeg is gebleekt, dan herhaalt ververst men de bleekstof en laat de patiënt weer een week ‘rondlopen’. Totdat de tand dezelfde witheid heeft als de buurtanden of het liefst een tikkeltje witter i.v.m. een lichte terugval naar donker.
Deze patiënt is vroeger, tijdens het stoeien, met zijn rechter voortand tegen het hoofd van een speelkameraad gebotst. Op latere leeftijd is deze voortand duidelijker bruiner geworden dan de rest. Hij stoorde zich aan de verslechterde esthetiek en vroeg mij daaraan wat te doen. Op de eerste Röntgenfoto is duidelijk te zien, dat het wortelkanaal van de Patiënt zijn rechter voortand helemaal is dicht geslibd: In de linker voortand is, in het midden, duidelijk de de centrale zenuw te zien als een dikke verticale zwarte streep. In de rechter voortand is deze verticale zwarte streep verdwenen.
Ik heb een wortelkanaalbehandeling uitgevoerd, waarbij ik het aanwezige kanaal nog aanwezige kanaal heb opgevijld in breedte. Ik heb voldoende lengte van het kanaal overgelaten om te vullen met bleekstof. Ik heb de tand in totaal 3 keer een week gebleekt, totdat ik en de patiënt vonden dat de tand weer een goede Witheid had bereikt. Tot slot heb ik het kanaal weer gevuld met kanaalvulmateriaal en afgesloten met een definitieve composietvulling. Een pijnloos en stralend resultaat!


Esthetische tandheelkunde
De volgende patiënt kwam op consult met een esthetische hulpvraag. De patiënt probeerde al zelf thuis haar boven- voortanden op te knappen door ze te bleken. Echter de lelijke vulling in haar boven-voortand bleekte niet mee en de hoektanden bleven altijd donkerder dan de rest van de tanden. Verder stoorde ze zich aan de spleetjes onderaan tussen haar tanden, ook de vorm en stand van haar tanden vond ze niet mooi.
Ik heb toen voorgesteld om 6 facings/schildjes te maken van het witte Amerikaanse vulmateriaal Herculite. Op die manier zou ik de vorm van de tanden kunnen bepalen, de spleetjes tussen haar tanden kunnen dichten, de lelijke vulling vervangen en alle 6 de voortanden in de bovenkaak dezelfde frisse lichte kleur geven. Ook heb ik haar aangeraden haar ondertanden te bleken met het Amerikaanse bleeksysteem ‘Opalescence Go!’ Ik heb alle tanden aan de voorkant licht beslepen, daarna heb ik een soort witte grondverf gebruikt, zodat alle vullingen mooi dezelfde kleur kregen. Vervolgens heb ik de vullingen aangebracht in de gewenste tandvorm en ervoor gezorgd dat ze mooi recht op één lijn stonden in de tandboog. Door haar ondertanden te bleken met Opalescence Go!, kregen de onder- en boventanden dezelfde lichte kleur.
De patiënt heeft niets van de behandeling gevoeld, want er is goed verdooft.
De totale kosten van de 6 schildjes/facings inclusief verdoving waren +/- € 480 euro.

Esthetische tandheelkunde
Deze patiënt kwam bij mij met de vraag of er wat aan zijn zwarte vullingen in zijn kiezen gedaan kon worden. Hij had vroeger meerdere en grote gaatjes gehad en die waren toen gevuld met het zwarte/zilverkleurige vulmateriaal ‘amalgaam’. Hij stoort zich er steeds meer aan, omdat tijdens het praten met andere mensen, de zwarte plekken op zijn kiezen duidelijk zichtbaar zijn. Hij schaamt zich er een beetje voor. Ik heb vervolgens twee nieuwe vullingen voor hem gemaakt met het Amerikaanse witte vulmateriaal (composiet) ‘Herculite’. Ik heb voor een kleur gekozen die overeenkomt met zijn eigen tandkleur van zijn gebit. Het zwarte amalgaam had afgegeven waardoor de tand onder de vulling zwart was gekleurd. Ik heb een soort ‘grondverf’ (opaquer) gebruikt om de verkleuringen te maskeren.
De patiënt was erg tevreden met de esthetiek van het eindresultaat. De patiënt heeft geen pijn ondervonden omdat er goed is verdoofd. De kosten, inclusief de verdoving, waren zo’n € 115 euro.
(behandelaars: tandarts Draga en preventie-assistente Marjolein)


Esthetische tandheelkunde
Deze patiënt kwam bij mij met de volgende esthetische vraag: Ze had in haar jeugd nooit een beugel gehad, hierdoor mankeert er orthodontisch gezien het één en ander aan haar gebit. Zo heeft zij een open beet, staan haar tanden wat naar voren en staan de tanden allemaal niet recht.
Maar ze kon hier best mee leven, ze stoorde zich er niet aan. Waar ze zich wel aan stoorde waren de twee kleine snijtandjes naast haar grote voortanden in de bovenkaak: Deze waren bruinig en vlekkerig, waren te lang door uitgroei, om de as gedraaid en stonden te ver naar binnen.
Ik heb dit verholpen door 2 schildjes op deze tanden aan te brengen van het Amerikaanse witte vulmateriaal ‘Herculite’.
De patiënt voelde geen pijn omdat er goed was verdoofd. De rode lichte beschadigingen aan het tandvlees rondom de tanden (ontstaan door te boren en plaatsen van de schildjes tot onder het tandvlees) waren na een week al verdwenen.
Totale prijs voor de twee schildjes inclusief verdoven: € 160 euro (+/- € 80 euro per stuk)
Behandelaars: tandarts Draga en preventieassistente Marjolein



Esthetische tandheelkunde
Tijdens een intake van deze nieuwe patiënt is de patiënt gevraagd of hij verder tevreden was met zijn gebit. De patiënt vertelde toen dat hij zich eigenlijk al geruime tijd stoorde aan zijn 2 bovenste voortanden: Er zat een grote spleet tussen, zijn rechter voortand stond meer naar voren, de beide tanden waren ook nog eens asymmetrisch gedraaid om hun as, en door een valpartij zijn beide voortanden ook nog eens afgebrokkeld.
De patiënt schaamde zich in het openbaar te lachen en vond het jammer dat hij nooit een beugel heeft gehad en het jammer genoeg niet meer goed zou komen.
Ik heb de patiënt toen verteld dat alle hoop nog niet verloren was en dat tegenwoordig een hoop esthetisch is te behandelen zonder orthodontie en met facings (schildjes op de tanden) van porcelein of wit vulmateriaal.
We hebben voor wit vulmateriaal gekozen: door de voorkant van beide voortanden te beslijpen heb ik de voortanden netjes terug in de tandboog gekregen en de draaïng aan de voorkant recht geslepen. Eerst heb ik een witte laag ‘grondverf’ aangebracht: ‘opaquer’, om verkleuringen te maskeren en de facings mooi egaal wit te laten lijken. Ik heb wit composiet gebruikt: het Amerikaanse ‘Herculite’. Ik heb de spleet, van beide kanten, gesloten, de afgebroken stukken tand heb ik aangevuld en de snijvlakken van beide tanden even lang en even recht gemaakt.
De patiënt had dit eindresultaat niet voor mogelijk gehouden en was erg tevreden.
Totale kosten van deze twee facings met verdoving: slechts € 158 euro.

Esthetische tandheelkunde
Deze patiënt heeft in zijn jeugd veel gaatjes gehad en deze gaatjes zijn destijds met zwarte vullingen gevuld, het zo gehete ‘amalgaam’.
De patiënt heeft deze vullingen altijd erg lelijk gevonden. Hij is met een esthetische hulpvraag bij mij gekomen om alle zwarte vullingen te vervangen door tandkleurige witte vullingen, het zo gehete ‘composiet.
De patiënt heeft tijdens de behandelingen niets gevoeld omdat er goed is verdoofd.
De patiënt was erg tevreden met het eindresultaat.
Er is gevuld met het Amerikaanse vulmateriaal ‘Herculite’.
De kosten van het boren en vullen van een éénvlaksvulling met verdoving zijn: € 58 euro.
De kosten van een tweevlaksvulling met verdoving zijn: € 72 euro.
In de linker- of rechter onderkaak kunnen alle tanden en kiezen in één keer gevuld worden met een verdoving van de hoofdzenuw aldaar.
(behandelaars tandarts Draga en preventie-assistente Marjolein)

Esthetische tandheelkunde
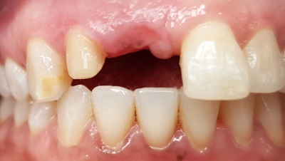
Deze patiënt kwam bij mij met een esthetische hulpvraag: Al vanaf jonge leeftijd mist ze een centrale voortand in de bovenkaak. In het buitenland heeft ze ooit een 2 delige brug laten maken, die bestond uit een gouden kroon op de tand naast het gat en daaraan vast een zwevende witte neptand. Ze wilde nu van de gouden tand af en ook van de lelijke witte neptand.
Ik heb haar gezegd dat ik een mooie nieuwe witte brug voor haar kon maken, maar dat ik nu ook de snijtand aan de andere kant wilde gebruiken als pijler, zodat we een klassieke brugsituatie zouden krijgen van een dummy (zwevende neptand op de plek van het gat) en aan weerszijden 2 pijlers. Maar hier wilde ze niets van weten, ze wilde niet dat ik aan een gezonde tand zat. Daar heeft ze natuurlijk gelijk in alleen een brug op één pijler wordt een stuk minder stevig, dan op een pijler aan weerszijden van het gat. Ze kon dat begrijpen, maar ze nam toch liever dat risico en wilde per se de brug op de bestaande pijler laten maken. ook had ze altijd al een voor haar kenmerkend spleetje tussen de tanden, deze wilde graag behouden en niet laten dicht maken door een 3-delige brug.
We hebben 3 afspraken gemaakt: Één bij mij voor het aanpassen van de bestaande pijler naast het gat en de afdruk. De Tweede afspraak was bij het Tandtechnisch laboratorium Barneveld, waar de kroon- en brugspecialisten de kleur en de vorm van de brug met de patiënt bespraken en afstemden.
De 3de afspraak was bij mij om de vervaardigde brug te cementeren.
De patiënt was erg tevreden met de esthetiek van het eindresultaat. Ze was blij dat we slechts één pijler hadden gebruikt en dat de kleine spleet tussen haar tanden niet was dicht gemaakt. Ze voelde tijdens de behandelingen geen pijn omdat ze elke keer goed was verdooft.
De kosten van deze brug, inclusief de vedoving, waren zo’n € 1000,- euro.
(behandelaars: tandarts Draga, stoelassistente Lucy, Specialisten van het Tandtechnisch LaboratoriumBarneveld)

Standverandering van voortanden met composiet
Deze patiënt stoorde zich aan de naar voren staande zijsnijtanden in de bovenkaak. Ze wilde geen beugel op haar leeftijd en vroeg wat ik er aan kon doen. De patiënt wilde meteen ook een ‘witter gebit’ en ze wilde van een ‘grijze kies’ af (groene pijl).
Nadat ik de situatie goed had bekeken, lag het probleem eerder aan de naar achter stekende middelste voortanden.
Ik heb twee facings geplaatst van een licht composiet op de centrale bovensnijtanden, en een composietfacing op de grijze kies (groene pijl), het zwarte randje rond de facing op de grijze kies is een beetje gestold bloed. Dit is ’s avonds na het poetsen al weer weg. Marjolein heeft de tanden in 1,5 uur gebleekt met Opalescence, totdat de facings en de tanden ongeveer van dezelfde kleur en lichtheid waren. De patiënt was erg tevreden met her resultaat.












